新型冠狀病毒(2019-nCoV) 抗原檢測試劑盒
注冊證號:國械注準20223400361
注冊證號:國械注準20223400361
作為一種全球最常見的先天性疾病原因,人巨細胞病毒(HCMV)每年會感染的新生兒數量約為100萬。
這種病毒感染可導致嬰兒的終身后遺癥,如感覺神經性聽力損失和腦損傷。對于免疫功能低下的個體患者,HCMV感染也會導致嚴重的疾病負擔。

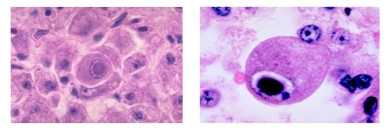
HCMV(人巨細胞病毒)
人巨細胞病毒(human cytomegalovirus,HCMV)是一種皰疹病毒科的β屬皰疹病毒,亦稱人類皰疹病毒5型。由于感染的細胞腫大,并具有巨大的核內包涵體,所以稱為巨細胞病毒。人巨細胞病毒具有高度物種特異性,人類是其唯一宿主。

圖片來源:兒科護理公眾號
先天性CMV感染約占新生兒的1%-2%,絕大多數(約90%)先天性感染的胎兒出生時無癥狀屬于隱性感染。約有10%在出生時或出生不久即表現出嚴重的甚至危及生命的臨床癥狀,部分患兒可有器官畸形、神經系統后遺癥等,對優生優育威脅極大。
發達國家人群中大多60%-80%的個體在成年前感染CMV,發展中國家感染率則高到90%以上,發展中國家的大多數兒童在3歲前感染CMV。HCMV一旦感染,免疫系統無法將其徹底清除,病毒會建立終身潛伏期。
HCMV傳播
● 傳染源:
HCMV攜帶者及患者是最廣泛的傳染源,HCMV感染后主要分布于唾液腺、乳腺、腎臟、生殖腺及外周血單個核細胞、淋巴細胞,繼而持續或間歇性地經唾液、乳汁、尿液、宮頸/陰道分泌物、精液等排出。原發感染后可持續從體液中排病毒數年之久。
● 傳播途徑
1、先天性感染
即為母嬰感染。孕婦感染CMV后,通過胎盤將此病毒傳播給胎兒,母親在感染后可產生抗體,以后再次生育胎兒受感染的機會較少或癥狀較輕,甚至無癥狀,但不能完全阻止垂直傳播的發生。
2、后天獲得性感染
包括圍產期新生兒經產道或母乳感染。密切接觸感染,主要通過飛沫或經口感染,常經玩具傳播給其他兒童。經輸血、器官移植感染。
● HCMV高發人群
1. 母親孕期有原發感染或再發感染的新生兒;
2. 1歲以下嬰兒;
3. 艾滋病患者;
4. 接受骨髓、干細胞或實體器官移植者;
5. 接受大劑量或長期免疫抑制劑或糖皮質激素治療者;
6. 其他免疫抑制的患兒。
年齡愈小,易感性愈高,癥狀也愈重,年長多呈不顯性感染。CMV為細胞內感染,雖血中有抗體,也不能避免細胞內此病毒的持續存在,故初次感染后,CMV很難被宿主完全清除。
HCMV感染的臨床表現
研究發現,生命早期的CMV感染,不管是孕期的胎兒還是圍產期的新生兒,都可能帶來嚴重的后果,感染越早損傷越重。
在臨床中,HCMV感染后大多數的臨床表現為無癥狀性感染,與其他皰疹病毒相比,HCMV能感染大多數人體器官和細胞。對于免疫功能低下、器官移植后和化療的患者來說,HCMV感染常常是致命性的。
雖然HCMV感染后絕大多數無癥狀,但是約有10-15%感染可致病,就是先天性人巨細胞病毒感染。宮內感染或者新生兒出生后2-3周內存在病毒排出的感染,定義為先天性巨細胞病毒感染。
先天性巨細胞病毒感染首先表現為孕婦的流產、死胎、死產。在活產兒中HCMV先天感染常有多系統器官受損或以下1種或多種表現不同組合形式。黃疸(直接膽紅素升高為主)和肝脾大最常見。可有血小板減少性瘀斑,中樞神經系統受累如頭小畸形、腦室擴大伴周邊鈣化灶、感音神經性耳聾、神經肌肉異常、驚厥和視網膜脈絡膜炎。外周血異形淋巴細胞(異淋)增多,腦脊液蛋白增高和肝功能異常。常見腹股溝斜疝等畸形。

HCMV感染還參與多種慢性疾病的發生和發展,包括自身免疫性疾病、動脈粥樣硬化、心肌炎等。更值得注意的是,越來越多的證據表明HCMV可能是一種致癌病毒,研究顯示HCMV感染與腫瘤之間存在密切聯系,在多種腫瘤組織例如腦膠質瘤、結腸癌、前列腺癌等腫瘤中存在HCMV的感染和表達。許多學者發現HCMV感染在腫瘤的發生、發展過程中起重要的作用,HCMV通過對腫瘤細胞周期、細胞的侵襲、血管生成、免疫反應和細胞凋亡等方面發揮作用。
HCMV感染的實驗室證據
HCMV活動性感染的證據:
(1)直接證據:直接檢查出病毒顆粒或病毒增殖產物。
1)病毒分離(短時培養后檢測病毒IEA):病毒顆粒或巨細胞病毒包涵體(但其檢出陽性率低)、病毒抗原(IEA、EA、PP65等)、病毒基因(mRNA);
2)HCMV DNA定量(尿液、唾液、血清/血漿):①血清或血漿病毒DNA陽性;②尿液、唾液高載量DNA或動態監測見載量明顯升高提示活動性感染;③新生兒期檢出病毒DNA是原發感染的證據;④全血或單個核細胞陽性不能排除潛伏感染,但病毒DNA高載量支持活動性感染。

(2)間接證據:血清學證據。
1)原發感染:①觀察到抗HCMV IgG抗體轉陽;②抗HCMV IgM陽性+抗HCMV IgG陰性或低親和力IgG陽性;③新生兒期抗HCMV IgM陽性提示原發感染。
2)近期活動性感染:①急性期或恢復期雙份血清抗HCMV IgG滴度≥4倍增高;②抗HCMV IgM和IgG雙陽性。
HCMV的預防
針對HCMV感染,目前尚無有效的預防手段,相關疫苗仍處于臨床試驗中,HCMV與機體免疫系統的復雜相互作用使得有效疫苗的研制困難重重。目前臨床預防措施包括盡量減少HCMV暴露、母嬰傳播阻斷和藥物預防。
HCMV感染的一個特殊高危因素是與2歲以下兒童密切接觸,美國疾病控制中心建議對參與護理2歲以下兒童的孕婦(包括提供保健護理的醫護人員、幼兒教師等)提供關于先天性HCMV感染預防措施的健康教育,即:不要與幼兒共用飲食、餐具或牙刷;親吻兒童時避免唾液接觸;更換尿布、喂養幼兒或擦拭幼兒鼻涕或唾液時避免皮膚接觸幼兒糞便及分泌物,之后使用肥皂和水徹底洗手。
來源:醫學界兒科頻道、
兒科護理、SIFIC感染視界
由艾康生物整理發布
版權歸原作者所有
如果有違規請聯系刪除
注冊證號:國械注準20223400361